コンテンツへ移動
ほ・とせなNEWS
タグから探す
  • SNSで話題
  • ふっとほほえむ
  • 子ども
  • ほっとする
  • 東京都
  • はっとする
  • 家族
  • へぇと納得
  • ひぃと驚く
  • 子育て
  • 犬
  • 猫
  • 生き方
  • 香川
  • 岡山
  • 学び
  • アート
  • 趣味
  • 香川県
  • 情報発信
もっと見る
ほっとメーカーから探す
今の気分から探す
  • はっとするはっとする
  • ひぃと驚くひぃと驚く
  • ふっとほほえむふっとほほえむ
  • へぇと納得へぇと納得
  • ほっとするほっとする
SNSで話題の記事を見る
  • Twitter
  • Instagram
ABOUT
  • ほ・とせなNEWSとは
  • 運営会社
  • 利用規約
  • お問い合わせ
prev
next
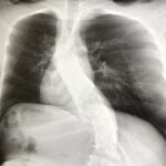
【実際の写真7枚】背骨のレントゲン
【実際の写真7枚】背骨のレントゲン
prev
next
  • 関連記事
1 / 8
この投稿へのコメントを見る
  • X
  • Facebook
  • LINE

20歳兄に生後11ヶ月の妹の子守りを頼んだら…2人の様子に「かわいい」「お兄ちゃん美形」「よく似ていますね」

パパの帰宅を待っていた1歳娘 帰ってきた瞬間の様子に反響「このまま純粋に素直に育ってほしい」

SNSで話題

あわせて読みたい

「頭痛がする」その後亡くなった妻とお腹の中の赤ちゃん 「”妊娠オウム病“を知ってほしい」発信を続ける夫に迫る

「頭痛がする」その後亡くなった妻とお腹の中の赤ちゃん 「”妊娠オウム病“を知ってほしい」発信を続ける夫に迫る

足の“攣(つ)り”が全身に広がり、その後病気が判明 「自宅は買って半年、車は4ヶ月。この先どうすれば…」発病時の思いと心境の変化について患者に聞いた

足の“攣(つ)り”が全身に広がり、その後病気が判明 「自宅は買って半年、車は4ヶ月。この先どうすれば…」発病時の思いと心境の変化について患者に聞いた

風邪のような症状から始まり緊急入院に 難病と診断された女性の“顔の変化”に驚きの声 「可哀想と捉えないで」発信した思いを聞いた

風邪のような症状から始まり緊急入院に 難病と診断された女性の“顔の変化”に驚きの声 「可哀想と捉えないで」発信した思いを聞いた

新着記事

  • 愛犬の散歩中「変わった犬ね」「え?プードルですが…」しかし次の瞬間、違和感の正体に気づき「私も二度見したw」「これは確かに珍しいわ笑」

  • 頭痛、倦怠感があった高3の女性。その後、病院に行った結果…「思わず泣き崩れてしまった」5年間の学生生活の思いを語る

  • 生後1ヶ月の息子。しかし「…ん?」母が瞳をよく見ると…「拡大して見ちゃいました」「そんなことあるんですね」

  • 新作ゲームをプレイのため、妻に育児を任せたい夫。「これで許してくれ」提示してきたまさかの条件に…「仰天したwww」「これなら許せるw」

  • 「寒ブリがよく釣れる」と聞いて、4時起きで海に向かった男性。6時間かけた釣りの成果に…「爆笑しましたww」「心が救われました」

  • ママ「似てると言われてフクザツでした…」どっしり貫禄ある赤ちゃん。しかし、1年後の姿に「天使に育てましたね」「こんな変わるんだ!」

  • 平成3年、過度のストレスで冷たい表情の男子中学生。→しかし、35年後の姿に「尊敬します」「ばりイケメン」「別人みたい!」「こんなに変われるんだ…!!!」

  • 1歳児とトイレの個室に入ると…「これどうしたらいいの?」 まさかの事態に「やめてぇええ」「焦りますよね〜」「これはパパも譲れない」

  • ある日突然、真隣に住む年配女性「お節介だと思ったけど…」その後、貰ったモノに「神すぎる」「こういうの…好き」

  • 休日朝、子どものためにマフィンを焼いた母。しかし、オーブンを開けた瞬間…「笑い転げましたwww」「これはマフィンと言うより…笑」

  • 突然の妻からの連絡「Bad news」夫「ああああ」思わず叫んだ内容に「笑ってしまいました」「Nooooooooooo」

  • 人が乗っていないはずの車。「ん?」しかし、よく見ると…「夜中見たら腰抜かしそう」「やばいwwww」「運転おねがいします!」

  • 膝に違和感を覚え病院に行くと…医師「切断という可能性もある」その後、絶望した病気。現在の様子と夢に向けた思いを聞いた

  • 8歳娘「キャラ弁が食べたい!」父「キティにするね」→完成した弁当に…「これが作れるパパ、凄い…!」「うちの旦那にも作ってほしい」

  • イジメられていた男子学生「常に怯えていました」 →時が経った現在の姿に「尊敬します」「凄いイケメン!」「変わりすぎ!」

  • 2018年頃から「ジャニーズのアイドルに似てる」と言われるようになった少年。→30歳になった現在の姿に「めっちゃイケメン」「凄い」「カッコイイ」「本人かと思った」の声

  • 七夕に「弟か妹が生まれますように」と願う8歳娘。それから4年後の姿に「2人目のママだね」「涙出そう」

  • 先生として働いてきた男性→その後の姿に迫る。 ”バーベキュー型教育”で育む自己実現 ゆっきー先生が指南する「なりたい自分」の作り方。

  • ごみ捨てから戻ると…自宅の窓に違和感。よく見てみると…「どういう状況!?」「事件かと思った」

  • キッチンに置いていた白菜。冷蔵庫に入らず、放置した結果…「白菜の逆襲だ」「春を感じます」

アクセスランキング

  • 平成6年に撮った2ショット 30年後の姿に…「美男美女」「こんな夫婦になりたい」
    平成6年に撮った2ショット 30年後の姿に…「美男美女」「こんな夫婦になりたい」
  • 孫のためにお弁当を作った祖母 孫が絶賛したお弁当に「美味しそう」「お弁当すごい」
    孫のためにお弁当を作った祖母 孫が絶賛したお弁当に「美味しそう」「お弁当すごい」
  • じいじを駅で待つ孫たち じいじが来た瞬間…!?「じいじイケメン」「デレッデレ」「嬉しくて可愛くてたまらない」「幸せになれる」
    じいじを駅で待つ孫たち じいじが来た瞬間…!?「じいじイケメン」「デレッデレ」「嬉しくて可愛くてたまらない」「幸せになれる」
  • 平成7年に生まれた双子…その29年後の姿に「漫画みたい」「素敵すぎる」
    平成7年に生まれた双子…その29年後の姿に「漫画みたい」「素敵すぎる」
  • 生後8ヶ月で亡くなった息子 約3年半後、当時の妻の日記に書いてあった本音とは
    生後8ヶ月で亡くなった息子 約3年半後、当時の妻の日記に書いてあった本音とは

6位以降はこちら

  • 息子「何回行ったら幼稚園お休み?」母「4回だよ」と伝えると…→その後の息子の行動に「わかるよその気持ち」「うちの子も!」の声
    息子「何回行ったら幼稚園お休み?」母「4回だよ」と伝えると…→その後の息子の行動に「わかるよその気持ち」「うちの子も!」の声
  • 父親が5分で書く連絡帳に「めっちゃ面白い」「楽しい連絡帳」の声 書き始めたことで“育児に変化”も
    父親が5分で書く連絡帳に「めっちゃ面白い」「楽しい連絡帳」の声 書き始めたことで“育児に変化”も
  • 小4の息子に渡したおこづかい明細書 その内容に「こういう勉強小学校とかでして欲しい」「社会勉強になりますね」の声
    小4の息子に渡したおこづかい明細書 その内容に「こういう勉強小学校とかでして欲しい」「社会勉強になりますね」の声
  • 「親のエゴだった…」娘の涙の訴えにハッとした母 買い物中に起きたやり取りに「すごい分かる」「改めて気付かされた」
    「親のエゴだった…」娘の涙の訴えにハッとした母 買い物中に起きたやり取りに「すごい分かる」「改めて気付かされた」
  • お昼寝するおじいちゃんとわんこ しかしよく見ると…「何回でも見てしまう」「ラブリーすぎ」の声
    お昼寝するおじいちゃんとわんこ しかしよく見ると…「何回でも見てしまう」「ラブリーすぎ」の声

6位以降はこちら

編集部ピックアップ

ひ孫にデレデレな80歳じいじが、抱っこすると…ひ孫の反応に「涙が出ました」「可愛くて仕方ない」
ひ孫にデレデレな80歳じいじが、抱っこすると…ひ孫の反応に「涙が出ました」「可愛くて仕方ない」
ほ・とせなNEWS編集部
生後8ヶ月で亡くなった息子 約3年半後、当時の妻の日記に書いてあった本音とは
生後8ヶ月で亡くなった息子 約3年半後、当時の妻の日記に書いてあった本音とは
ほ・とせなNEWS編集部
ソファでおにぎりを食べる1歳息子 しかしよく見ると…母「!?」すべてを察した母の投稿に「可愛いから許す!」「現行犯〜」
ソファでおにぎりを食べる1歳息子 しかしよく見ると…母「!?」すべてを察した母の投稿に「可愛いから許す!」「現行犯〜」
ほ・とせなNEWS編集部
小1から不登校、息子は「ギフテッド」だった 父が“ウチ給食”を作り続ける理由とは #令和の親 #令和の子
小1から不登校、息子は「ギフテッド」だった 父が“ウチ給食”を作り続ける理由とは #令和の親 #令和の子
SNSで話題
ほ・とせなNEWS編集部
ライター募集!

“人”のグッドニュースの取材・執筆をしてみませんか?

ライター募集!イラスト

お問い合わせページへ

Follow US!
  • Twitter
  • Instagram
SNSイラスト
SNSイラスト
  • ほとせなニュースとは
  • タグ一覧
  • 【利用規約】
  • ランキングSNS
  • ランキングNEWS
  • プライバシーポリシー
  • 特定商取引法に基づく表示

Copyright© Generallink inc. All Rights Reserved. No reproduction or republication without written permission.