お腹の中の赤ちゃんの姿を見られる時間は、妊娠中の大きな楽しみのひとつですよね。
ママさん(@iiyl_llyi)が、エコー映像に映った赤ちゃんの行動をThreadsに投稿。
いったい何をしていたのでしょうか?ママさんに話を聞きました。
妊娠13週で見えた小さな命の躍動
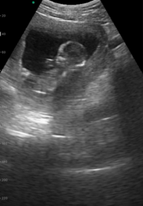
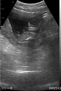
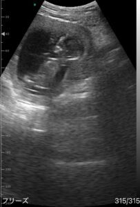
投稿に映っていたエコーは、妊娠4ヶ月、13週のときのものです。
この映像は、医療機関での健診時ではなく自宅用のレンタル機器を使って撮影したものでした。
ママさんは、家で毎日エコーを見ることを日課にしています。
この日もいつものようにお腹の赤ちゃんの様子を確認していたところ、思わぬ瞬間が映りました。
手を振る仕草に思わず笑顔
その日は、いつもより長めにエコーを見ていたといいます。
赤ちゃんはちょうど起きているタイミングだったのか、お腹の中で元気に跳ねたり回ったりと活発です。

その中でも特に目を引いたのが、まるでこちらに向かって手を振っているように見える瞬間でした。
その映像を仕事帰りのパパさんにも見せたところ「可愛い」と夫婦そろって口にしたそうです。

思いがけない温かい反響
今回の投稿は、自分の記録として軽い気持ちでシェアしたものでした。
多くの反響があったことに、ママさん自身もびっくりしたそうです。

さまざまな意見が寄せられる可能性も覚悟していましたが、届いたのは温かい言葉ばかり。
赤ちゃんに向けられた優しいコメントの数々に「この子が愛されている」と強く感じたといいます。
実際の投稿には「お腹のなかから親孝行ですね!!」「ファンサ」「こりゃ凄い」のような声も寄せられていました。
お腹の中で元気に動く赤ちゃんは、すでにたくさんの人に幸せを届けています。
提供元:@iiyl_llyiさん(Threads)

